
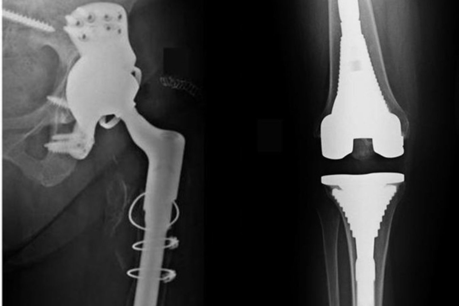
Total hip replacement surgery for degenerative hip disease, arthritis or trauma.

Total knee replacement for arthritis or deformity.

Complex revision surgeries for failed implants or infection.

Management of acute bone fractures, pelvic & acetabular fractures, severe joint injuries and paediatric trauma.

Minimally invasive arthroscopic surgeries for ligament and cartilage injuries.

Arthroscopy for rotator cuff tears, impingement, and instability.
Our patients trust Dr. Rajeev Kumar for expert care, compassionate treatment, and life-changing orthopaedic outcomes.
Dr. Rajeev Kumar performed my knee replacement surgery with absolute precision. I was walking comfortably in just a few weeks. His care and guidance were exceptional.
Dr. Rajeev Kumar delivers expert orthopaedic care with precision, compassion, and innovation, restoring mobility and improving lives across India and Africa.